Få lavet din MR-SCANNING hos Progardia
MR-scanning af SI-led
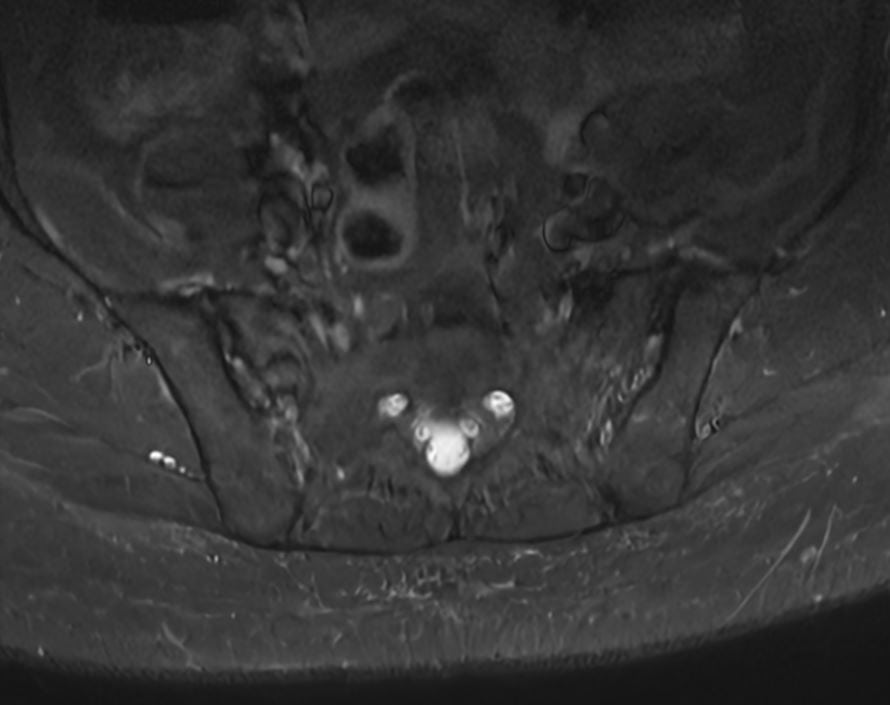
Få præcis diagnose af dine SI-ledsmerter med avanceret MR-scanning hos Progardia. Vores kraftfulde 3 tesla scanner giver ekstraordinært detaljerede billeder af sacroiliacaleddet, hvor rygsøjlen møder bækkenet. Oplev markedets mest nøjagtige visualisering af inflammation, artrit og andre forandringer, der ofte overses ved konventionelle undersøgelser.

Hvad er en MR-scanning af SI-led?
En MR-scanning af SI-led (sacroiliacaled) er en avanceret, smertefri undersøgelse, der giver detaljerede billeder af forbindelsen mellem korsbenet (sacrum) og hoftebenet (ilium).
Vores 3 tesla MR-scanner bruger et kraftigt magnetfelt og radiobølger til at skabe præcise billeder af leddet, omkringliggende knogler, brusk, ledbånd og bløddele – helt uden brug af røntgenstråling.
SI-leddet er et komplekst led, der ofte er svært at undersøge med konventionelle metoder. MR-scanning kan vise tidlige tegn på inflammation, artrit, slidgigt og andre forandringer, der kan være årsag til lænde-, hofte- eller bækkensmerter. Denne undersøgelse er særligt værdifuld ved mistanke om inflammatoriske rygsygdomme som f.eks. ankyloserende spondylitis (Morbus Bechterew).

Mød vores MR-specialister
Kim, Per og Ken er blandt Danmarks førende kapaciteter inden for MR-billeddiagnostik med mange års dedikeret erfaring som radiografer.
Vores team af radiologer har omfattende erfaring med alt inden for MR-billeddiagnostik. De bruger deres specialviden til at give en grundig vurdering af dine scanningsbilleder.
Vi lægger vægt på et tæt samarbejde med både praktiserende læger, speciallæger, offentlige og private sygehuse, kiropraktorer og fysioterapeuter for at sikre, at du får den bedst mulige vurdering og vejledning til eventuel videre behandling.

Hvornår anbefales MR-scanning af SI-led?
En MR-scanning af SI-led kan være relevant i følgende situationer:
- Ved familiær disposition for AS eller andre inflammatoriske rygsygdomme
- Ved lændesmerter, der stråler ned i ballen eller baglåret
- Ved mistanke om inflammatorisk rygsygdom som ankyloserende spondylitis (Morbus Bechterew)
- Ved uforklarlige bækkensmerter, særligt hos yngre personer
- Ved smerter i lænden, der er værst om morgenen og bedres ved bevægelse
- Ved symptomer på sakroiliitis (betændelse i SI-leddet)
- Ved natlige rygsmerter, der vækker dig fra søvnen
- Ved langvarige lændesmerter, der ikke bedres ved konventionel behandling
- Efter fødsel med vedvarende bækkensmerter
- Ved symptomer på entesitis (betændelse ved muskel/senesæt)
- Ved traumerelaterede SI-ledsskader
- Som led i udredning for psoriasisartrit eller inflammatorisk tarmsygdom med ledsymptomer

Du kan altid få tid inden for en uge.
Hvad koster en MR Scanning af SI-led?
MR-scanning af SI-led (sacroiliacaleddet)
Kr. 2.900
MR-scanning af brystryggen
Kr. 2.900
MR-scannng af lænderyggen
Kr. 2.900
MR-scanning af SI-led (Sacroiliacaled)
Kr. 2.900
MR-scanning af hele ryggen (Columna totalis)
Kr. 6.960
MR-scanning af nakke, brystryggen – Samme dag
(-12.5%) Kr. 5.075
Mr-scanning af nakke, brystryggen og lænderyggen – Samme dag
(-20%) Kr. 6.960
Ved 4. eller flere kropsdele (Overvej helkropsscan)
(-27.5%) Kr. 8.410
Telefonisk svar ved speciallæge
Kr. 600
OBS. Der er rabatter ved flere bookinger på samme dag. Du kan læse mere her!
Bemærk: Sygeforsikringen “danmark” yder tilskud på op til kr. 2.000 (inkl. moms) for gruppe 2 til MR-scanninger. MR-scanning af kropsdele er omfattet af “Det udvidede frie sygehusvalg”. Alle priser er inkl. lovpligtig patientforsikring.
Specialiseret i komplekse led
Overlegen billedkvalitet
AI-forbedret billedkvalitet
Tidlig diagnose
Skånsom undersøgelse

Prioritér dit helbred – undgå lange ventetider
Vi anbefaler at få foretaget en MR-scanning af SI-led:
- Ved vedvarende eller tilbagevendende smerter i nedre ryg, bækken eller balle-region
- Ved morgenstivhed i lænden der varer mere end 30 minutter
- Ved smerter der vækker dig om natten, særligt i anden halvdel af natten
- Ved smerter der bedres ved bevægelse og forværres ved hvile
- Hvis du har diagnosen psoriasis og oplever ledsmerter
- Ved inflammatorisk tarmsygdom (Crohns sygdom eller colitis ulcerosa) med rygsymptomer
- Ved familiær disposition for Morbus Bechterew eller andre inflammatoriske rygsygdomme
Før scanningen (Hjemmefra)
Før scanningen (På klinikken)
Under scanningen
Tidlig diagnose
Skånsom undersøgelse
Eksempler på MR Scanninger
Hvad er et SI-led?
Hvorfor er MR-scanning bedre end røntgen til SI-led?
Jeg har klaustrofobi – kan jeg gennemføre en MR-scanning?
Kan MR-scanning afgøre, om jeg har Morbus Bechterew?
Skal jeg have kontrast ved MR-scanning af SI-led?
Hvornår får jeg svar på min undersøgelse?

Ring eller skriv






