scanning af brystkasse hos progardia
MR-scanning af brystkassen
Få ekstraordinært præcise billeder af din brystkasse med en MR-scanning hos Progardia. Som den eneste klinik i området tilbyder vi brystkassescanning med avanceret 3 tesla teknologi og AI-forbedret billedkvalitet. Vores erfarne specialister sikrer dig præcis diagnosticering af lunger, hjerte, blodkar og omkringliggende væv samt tryghed gennem hele forløbet.

Hvad er en MR-scanning af brystkassen?
En MR-scanning af brystkassen (thorax) er en avanceret billeddiagnostisk undersøgelse, der giver detaljerede billeder af brystområdet uden brug af røntgenstråling. Vores 3 tesla MR-scanner skaber ekstremt præcise billeder ved hjælp af et kraftigt magnetfelt, der er ca. 60.000 gange stærkere end jordens magnetfelt.
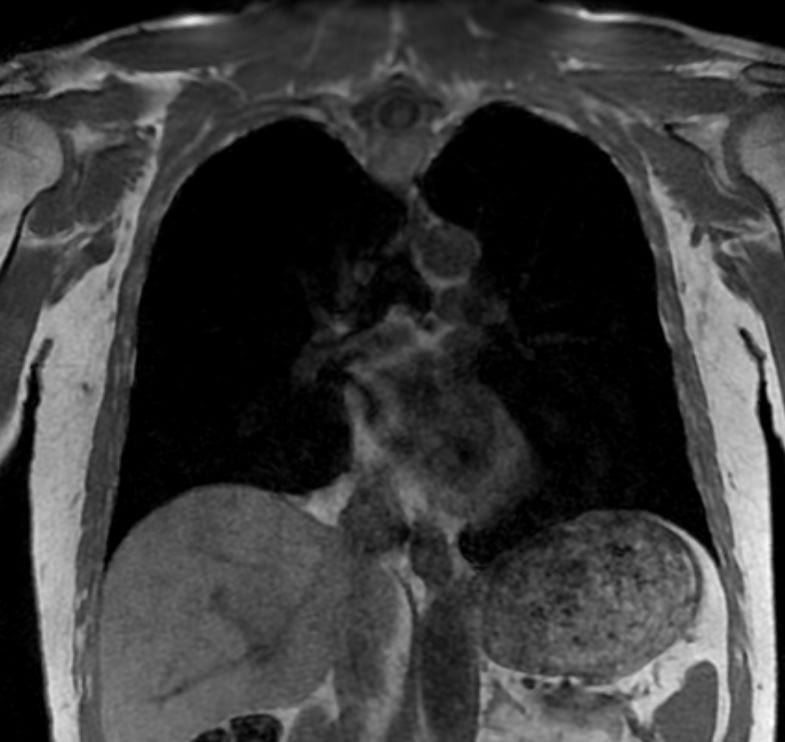
Brystkassen (thorax) omfatter ribben, lunger med lungesæk (pleura), bronkier og de centrale dele (mediastinum), som indeholder hjertet, de store blodårer, luftrøret og spiserøret. En MR-scanning kan skabe detaljerede billeder af både hårde og bløde væv i dette område.
Før scanningen (hjemmefra)
Før scanningen (på klinikken)
Under scanningen
Efter scanningen
Kan du se resultatet med det samme?

Mød vores MR- specialister
Kim, Per og Ken er blandt Danmarks førende kapaciteter inden for MR-billeddiagnostik med mange års dedikeret erfaring som radiografer.
Vores team af radiologer har omfattende erfaring med alt inden for MR-billeddiagnostik. De bruger deres specialviden til at give en grundig vurdering af dine scanningsbilleder.
Vi lægger vægt på et tæt samarbejde med både praktiserende læger, speciallæger, offentlige og private sygehuse, kiropraktorer og fysioterapeuter for at sikre, at du får den bedst mulige vurdering og vejledning til eventuel videre behandling.

Hvornår anbefales MR-scanning af brystkassen?
Der kan selvfølgelig være flere årsager til hvorfor man har behov for at få skannet sin brystkasse, men her er nogle af de hyppigste årsager:
- Ved vedvarende eller uforklarlige smerter i brystområdet
- Ved mistanke om sygdomme i lunger, pleura eller mediastinum
- Ved undersøgelse af udposning på hovedpulsåren (aortaaneurisme)
- Ved mistanke om hjerteproblemer eller forstørret hjerte
- Ved undersøgelse af forandringer i lungerne, som er opdaget ved andre undersøgelser
- Ved mistanke om forstørrede lymfekirtler i brysthulen
- Ved opfølgning på tidligere konstateret sygdom
- Ved mistanke om inflammation/infektion i brystområdet
- Ved gigtforandringer i brystbenet (sternum) – dette kræver dog en selvstændig MR-scanning
Avanceret teknologi
AI-forbedret billedkvalitet
Specialister i billeddiagnostik
Patientvenligt miljø

Prioritér dit helbred – undgå lange ventetider
På offentlige hospitaler kan ventetiden til en MR-scanning være meget lang. Hos Progardia kan du få tid til scanning af brystkassen inden for få dage, og du får svar på undersøgelsen kort tid efter.
Priser for scanning af BRYSTKASSE
Hvad koster en MR Scanning af brystkasse?
MR-scanning af brystkasse
Kr. 2.900
Telefonisk svar ved speciallæge
Kr. 600
OBS. Der er rabatter ved flere bookinger på samme dag. Du kan læse mere her!
Bemærk: Sygeforsikringen “danmark” yder tilskud på op til kr. 2.000 (inkl. moms) for gruppe 2 til MR-scanninger. MR-scanning af kropsdele er omfattet af “Det udvidede frie sygehusvalg”. Alle priser er inkl. lovpligtig patientforsikring.
Jeg har klaustrofobi – kan jeg gennemføre en MR-scanning?
Er MR-scanning farligt?
Hvem kan ikke få foretaget en MR-scanning af brystkassen?
Hvornår får jeg svar på min MR-scanning?
Hvordan forbereder jeg mit barn til en MR-scanning?
Kan jeg se resultatet af min scanning med det samme?
Skal jeg have kontrastvæske ved en MR-scanning af brystkassen?
Hvad er forskellen på MR-scanning og CT-scanning af brystkassen?
Eksempler på MR Scanninger

Ring eller skriv
Vi sidder klar til at hjælpe dig, hvis du har spørgsmål
Du kan også finde svar på de mest almindelige spørgsmål på siden spørgsmål og svar.







