scanning af fod eller fodled hos progardia
MR-scanning af fod eller fodled
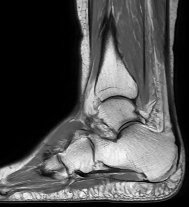
Kom dine fodsmerter til livs med en grundig MR-scanning hos Progardia. Med vores high-tech 3 tesla scanner får du markedets mest detaljerede billeder af både fod og fodled. Vores specialuddannede team sikrer en præcis diagnose af alt fra ledskader og senebetændelse til små knoglebrud, der ofte overses på røntgen.

Hvad er en MR-scanning af fod eller fodled?
En MR-scanning af fod eller fodled er en avanceret billeddiagnostisk undersøgelse, der giver ekstremt detaljerede billeder af fodens eller fodleddets indre strukturer.
Ved hjælp af et kraftigt magnetfelt og radiobølger skaber vores 3 tesla scanner præcise billeder af knogler, muskler, sener, brusk, ledkapsler og ledbånd – helt uden brug af røntgenstråling.
Undersøgelsen er særligt velegnet til at afdække årsagen til kroniske eller akutte fodsmerter, da den kan vise skader og forandringer, som ikke kan ses på røntgenbilleder eller ved fysisk undersøgelse.
MR-scanning er afgørende for at diagnosticere mange lidelser i fodens komplekse struktur med dens 26 knogler og over 100 muskler, sener og ledbånd.
Før scanningen (Hjemmefra)
Før scanningen (På klinikken)
Under scanningen
Efter scanningen
Kan jeg se resultatet af min scanning med det samme?
Særligt ved scanning af akillessenen

Mød vores MR- specialister
Kim, Per og Ken er blandt Danmarks førende kapaciteter inden for MR-billeddiagnostik med mange års dedikeret erfaring som radiografer.
Vores team af radiologer har omfattende erfaring med alt inden for MR-billeddiagnostik. De bruger deres specialviden til at give en grundig vurdering af dine scanningsbilleder.
Vi lægger vægt på et tæt samarbejde med både praktiserende læger, speciallæger, offentlige og private sygehuse, kiropraktorer og fysioterapeuter for at sikre, at du får den bedst mulige vurdering og vejledning til eventuel videre behandling.

Hvornår anbefales MR-scanning af fod eller fodled?
En MR-scanning af fod eller fodled kan være relevant i følgende situationer:
- Ved vedvarende eller tilbagevendende smerter i fod eller fodled
- Ved mistanke om stressfraktur eller brud som ikke kan ses på røntgen
- Ved mistanke om seneskader, særligt akillessenen
- Ved mistanke om ledbåndsskader i fodleddet
- Ved hævelse uden kendt årsag
- Ved smerter ved belastning
- Ved mistanke om ledskade (artrose/artrit)
- Ved bruskskader i fodleddet
- Ved betændelsestilstande i foden
- Ved mistanke om plantarfasciitis
- Ved mistanke om tarsaltunnelsyndrom
- Ved vedvarende smerter efter forstuvning
- Ved mistanke om inflammation eller væskeophobning (ødem) i knoglen
- Ved knuder eller hævelser der ikke forsvinder
Overlegen billedkvalitet
Ingen røntgenstråling
Specialistgennemgang
Komfortabel oplevelse
Minimale ventetider
Hurtige svartider

Prioritér dit helbred – undgå lange ventetider
På offentlige hospitaler kan der være lang ventetid på en MR-scanning af fod eller fodled.
Hos Progardia kan du typisk få en tid inden for få dage, og du får svar på undersøgelsen kort tid efter.
Priser for scanning af fod, fodled og achillessenen
Hvad koster en MR-scanning fod, fodled og achillessenen?
MR-Scanning af fod
Kr. 2.900
MR-Scanning af fodled
Kr. 2.900
MR-Scanning af achillessenen
Kr. 2.900
Telefonisk svar ved speciallæge
Kr. 600
OBS. Der er rabatter ved flere bookinger på samme dag. Du kan læse mere her!
Bemærk: Sygeforsikringen “danmark” yder tilskud på op til kr. 2.000 (inkl. moms) for gruppe 2 til MR-scanninger. MR-scanning af kropsdele er omfattet af “Det udvidede frie sygehusvalg”. Alle priser er inkl. lovpligtig patientforsikring.
Jeg har klaustrofobi – kan jeg gennemføre en MR-scanning?
Er MR-scanning farligt?
Kan jeg bruge min indlægssål under scanningen?
Hvorfor kan en MR-scanning se ting, som røntgen ikke kan?
Hvordan forbereder jeg mit barn til en MR-scanning?
Hvornår får jeg svar på min undersøgelse?
Kan jeg gå normalt efter scanningen?
Kan jeg blive scannet, hvis jeg har metalimplantater i foden?
Eksempler på MR Scanninger

Ring eller skriv
Vi sidder klar til at hjælpe dig, hvis du har spørgsmål
Du kan også finde svar på de mest almindelige spørgsmål på siden spørgsmål og svar.







