Få lavet din MR-SCANNING hos Progardia
MR-scanning af
hoved og hjerne
Få det mest detaljerede indblik i din krops tilstand med en MR-scanning hos Progardia. Som den eneste klinik i området tilbyder vi scanning med avanceret 3 tesla teknologi og AI-forbedret billedkvalitet. Vores erfarne specialister sikrer dig præcis diagnosticering og tryghed gennem hele forløbet.

Hvad er en MR-scanning af hjernen?
Hjernen udgør sammen med rygmarven og hjernestammen kroppens centralnervesystem og styrer alle funktioner i kroppen. Alt fra dine tanker og tale til dine bevægelser og følelser er afhængig af hjernens komplekse netværk af nerveforbindelser. Derfor er det afgørende at værne om hjernens sundhed – også selvom du ikke oplever synlige symptomer.
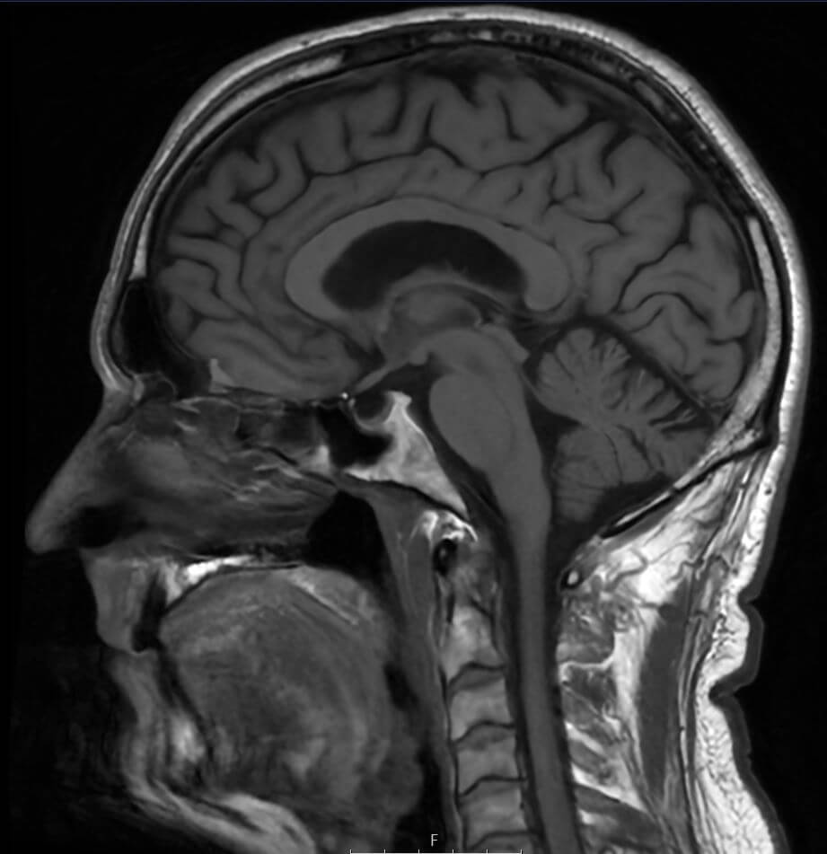
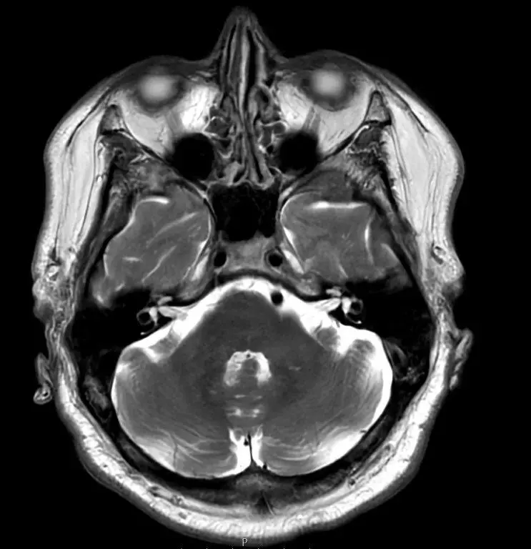
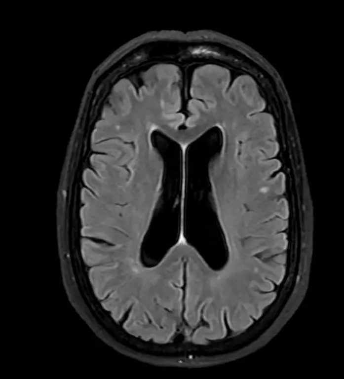
En MR-scanning af hjernen er en avanceret billedteknik, der bruger magnetfelter og radiobølger til at skabe detaljerede billeder af hjernens strukturer. Metoden har været brugt siden 1980’erne og er i dag det foretrukne værktøj til at opdage forandringer og forhindre alvorlige konsekvenser.
Ved en MR-scanning tages omkring 2.000 detaljerede billeder, som giver et præcist indblik i hjernens anatomi, herunder:
- Hjernestammen og cerebrospinalvæsken, der omgiver hjernen og rygmarven
- Hjernebarken (den grå substans), som styrer kroppens funktioner
- Den hvide substans med nervebaner, der forbinder hjernens forskellige dele

Mød vores MR-specialister
Kim, Per og Ken er blandt Danmarks førende kapaciteter inden for MR-billeddiagnostik med mange års dedikeret erfaring som radiografer.
Vores team af radiologer har omfattende erfaring med alt inden for MR-billeddiagnostik. De bruger deres specialviden til at give en grundig vurdering af dine scanningsbilleder.
Vi lægger vægt på et tæt samarbejde med både praktiserende læger, speciallæger, offentlige og private sygehuse, kiropraktorer og fysioterapeuter for at sikre, at du får den bedst mulige vurdering og vejledning til eventuel videre behandling.

Du kan altid få tid inden
for en uge
Hvad koster en MR-scanning?
MR-scanning af hovedet
Kr. 2.900
Hovedet og rygmarven (Centralnervesystemet)
Kr. 6.960
Hovedet og hele ryggen
Kr. 8.410
Telefonisk svar ved speciallæge
Kr. 600
OBS. Skal du have have skannet mere end hovedet + to andre kropsdele, bør du da overveje helkropsscanning.
Bemærk: Sygeforsikringen “danmark” yder tilskud på op til kr. 2.000 (inkl. moms) for gruppe 2 til MR-scanninger. MR-scanning af kropsdele er omfattet af “Det udvidede frie sygehusvalg”. Alle priser er inkl. lovpligtig patientforsikring.

Prioritér dit helbred – undgå lange ventetider
På offentlige hospitaler kan ventetiden til en MR-scanning være meget lang. Dette skyldes både vurdering af scanningsbehov og lange ventelister. Hos Progardia kan du få tid til scanning inden for få dage, og du får svar på undersøgelsen kort tid efter.
Vi anbefaler at få foretaget en MR-scanning:
- Som forebyggende undersøgelse (anbefales hver 18. måned) for at overvåge eventuelle forandringer
- Ved symptomer som hovedpine, svimmelhed, synsforstyrrelser eller kognitive ændringer
- Hvis du har familie-historik med neurologiske lidelser
Specialiseret teknologi for optimal diagnostik
Avanceret AI-teknologi
Patientvenlig undersøgelse

Hvordan foregår undersøgelsen?
1. Du ligger komfortabelt på et blødt leje og køres langsomt ind i scanneren
2. En specialdesignet antenne placeres omkring dit hoved, for at få det absolut bedste billeder af dig
3. Under hele scanningen kan du slappe af med beroligende musik eller se en film
4. Vores radiograf vejleder dig gennem hele forløbet
5. Scanningen tager typisk mellem 15-30 minutter
I nogle tilfælde kan det være nødvendigt at give kontrastvæske gennem en blodåre i armen. Dette er ufarligt og hjælper med at gøre bestemte strukturer i hjernen mere synlige på billederne.
Hvilke neurologiske sygdomme kan opdages?
En MR-scanning af hjernen er den bedste metode til at diagnosticere en række tilstande som:
– Godartede og ondartede tumorer (hjernesvulster)
– Kræftspredning til hjernen (metastaser)
– Blodpropper og blødninger i hjernen
– Inflammatoriske tilstande
– Multipel sklerose
– Epilepsi
– Alzheimers sygdom
– Skader efter hovedtraumer
Eksempler på MR-scanninger

Ring eller skriv








