scanning af kønsorganer hos progardia
MR-scanning af kvindelige kønsorganer
Få klarhed over dit underliv med en skånsom MR-scanning hos Progardia. Vi tilbyder en grundig undersøgelse af kvindelige kønsorganer med vores avancerede 3 tesla scanner, der giver ekstra detaljerede billeder uden stråling. Vores erfarne team sikrer, at du får en præcis diagnose og en behagelig oplevelse.<br>

Hvad er en MR-scanning af kvindelige kønsorganer?
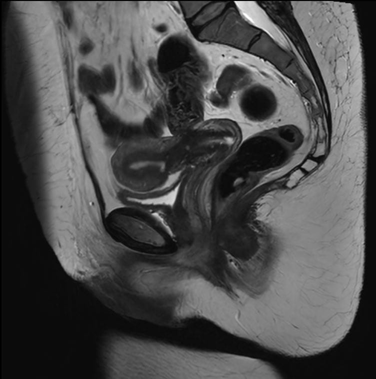
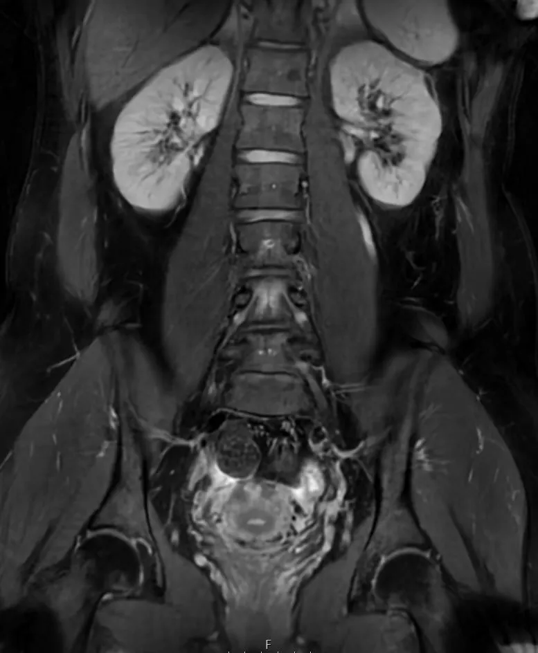
En gynækologisk MR-scanning af kvindelige kønsorganer er en skånsom og præcis undersøgelse, der giver detaljerede billeder af underlivet. Vores 3 tesla MR-scanner bruger et magnetfelt og radiobølger til at skabe tydelige billeder af bløddele som livmoder, æggestokke og omkringliggende væv – helt uden brug af røntgenstråling.
Denne type undersøgelse er særligt god til at undersøge og diagnosticere forskellige tilstande i underlivet, der kan være svære at opdage med andre metoder. MR-scanning kan give et klart og detaljeret billede af eventuelle forandringer eller sygdomme i de kvindelige kønsorganer.
Før scanningen (Hjemmefra)
Før scanningen (På klinikken)
Under scanningen
Efter scanningen
Kan jeg se resultatet af min scanning med det samme?

Mød vores specialister
Kim, Per og Ken er blandt Danmarks førende kapaciteter inden for MR-billeddiagnostik med mange års dedikeret erfaring som radiografer.
Vores team af radiologer har omfattende erfaring med alt inden for MR-billeddiagnostik. De bruger deres specialviden til at give en grundig vurdering af dine scanningsbilleder.
Vi lægger vægt på et tæt samarbejde med både praktiserende læger, speciallæger, offentlige og private sygehuse, kiropraktorer og fysioterapeuter for at sikre, at du får den bedst mulige vurdering og vejledning til eventuel videre behandling.

Hvornår anbefales MR-scanning af kvindelige kønsorganer?
En MR-scanning af underlivet kan være relevant i følgende situationer:
- Ved uforklarlige smerter i underlivet
- Ved mistanke om endometriose
- Ved mistanke om muskelknuder i livmoderen (myomer/fibromer)
- Ved cyster på æggestokkene
- Ved mistanke om polypper i livmoderen
- Ved gentagne spontane aborter
- Ved mistanke om medfødte misdannelser i livmoderen
- Ved mistanke om kræft i de kvindelige kønsorganer
- Ved mistanke om betændelse i bækkenet (PID)
- Som led i udredning ved problemer med at blive gravid
Overlegen billedkvalitet
Ingen stråling
Bedre diagnostik
Komfortabel oplevelse
Erfarne specialister

Prioritér dit helbred – undgå lange ventetider
På offentlige hospitaler kan der være lang ventetid på en MR-scanning af underlivet.
Hos Progardia kan du typisk få en tid inden for få dage, og du får svar på undersøgelsen kort tid efter.
Priser for scanning af kønsorgan
Hvad koster en MR-scanning af kønsorganerne?
MR-Scanning af kønsorganerne
Kr. 2.900
Telefonisk svar ved speciallæge
Kr. 600
OBS. Der er rabatter ved flere bookinger på samme dag. Du kan læse mere her!
Bemærk: Sygeforsikringen “danmark” yder tilskud på op til kr. 2.000 (inkl. moms) for gruppe 2 til MR-scanninger. MR-scanning af kropsdele er omfattet af “Det udvidede frie sygehusvalg”. Alle priser er inkl. lovpligtig patientforsikring.
Jeg har klaustrofobi – kan jeg gennemføre en MR-scanning?
Er MR-scanning farligt?
Kan jeg få lavet MR-scanning, hvis jeg er gravid?
Hvornår får jeg svar på min undersøgelse?
Hvordan adskiller MR-scanning sig fra ultralyd af underlivet?
Hvad kan MR-scanning vise, som andre undersøgelser ikke kan?
Kan jeg blive scannet, hvis jeg har spiral?
Eksempler på MR Scanninger

Ring eller skriv








