scanning af Lever hos progardia
MR-scanning af leveren
Opnå enestående detaljerede billeder af din lever med vores avancerede MR-teknologi hos Progardia. Vi er regionens eneste klinik med en state-of-the-art 3 tesla scanner kombineret med banebrydende AI-teknologi. Vores dedikerede specialister garanterer en præcis diagnose af leverforandringer og sikrer en tryg oplevelse fra start til slut.

Hvad indebærer en MR-scanning af leveren?
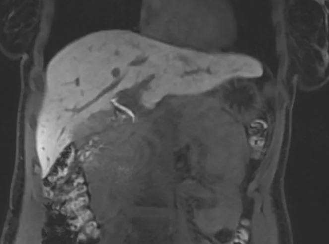
MR-scanning af leveren repræsenterer den absolutte topklasse inden for non-invasiv diagnostik, hvor sofistikeret teknologi skaber forbløffende detaljerede billeder af leverens indre struktur – helt uden brug af røntgenstråling.
Vores avancerede 3 tesla scanner genererer billeder ved hjælp af et kraftfuldt magnetfelt, der overgår jordens magnetfelt med cirka 60.000 gange.
Denne højteknologiske metode er særligt velegnet til at visualisere det bløde væv i bughulen og kan afsløre selv mikroskopiske forandringer i levervævet. Scanningen giver et holistisk billede af hele leverregionen inklusive galdeblære, bugspytkirtel og galdegange.
For optimal diagnostik anvender vi i særlige tilfælde et leverspecifikt kontrastmiddel, der markant forbedrer muligheden for at differentiere mellem normalt levervæv og potentielle sygdomsforandringer.
Forberedelse inden du ankommer
Ved ankomst til klinikken
Under din undersøgelse
Efter din scanning
Kan jeg se billederne og få svar med det samme?

Mød vores MR-specialister
Kim, Per og Ken er blandt Danmarks førende kapaciteter inden for MR-billeddiagnostik med mange års dedikeret erfaring som radiografer.
Vores team af radiologer har omfattende erfaring med alt inden for MR-billeddiagnostik. De bruger deres specialviden til at give en grundig vurdering af dine scanningsbilleder.
Vi lægger vægt på et tæt samarbejde med både praktiserende læger, speciallæger, offentlige og private sygehuse, kiropraktorer og fysioterapeuter for at sikre, at du får den bedst mulige vurdering og vejledning til eventuel videre behandling.

Hvornår bør du overveje en MR-scanning af leveren?
Der kan være mange forskellige årsager til at få undersøgt din lever grundigt. Her er de mest almindelige indikationer:
- Mistanke om cystedannelser eller tumorvækst i leveren
- Opfølgning på tidligere identificerede leverabnormaliteter
- Vedvarende eller tilbagevendende smerter i øvre højre kvadrant af abdomen
- Udredning af potentiel fedtlever (steatose)
- Mistanke om leverfibrose eller skrumpelever (cirrose)
- Undersøgelse af leverforstørrelse (hepatomegali)
- Screening for metastaser ved kendt kræftsygdom andetsteds
- Kontrol efter gennemført kræftbehandling
- Udredning af anomalier i galdeblære eller galdegangssystemet
- Supplerende diagnostik efter fund ved ultralyd, CT eller blodprøveanalyser
Topmoderne scanningsteknologi
Revolutionerende AI-understøttet billedoptimering
Skræddersyet leverdiagnostik
Højt specialiserede eksperter
Exceptionel patientkomfort

Tag kontrol over dit helbred – slip for lange ventelister
I det offentlige sundhedsvæsen kan ventetiden på en MR-scanning strække sig over adskillige måneder. Hos Progardia kan du typisk få en tid til leverscanning inden for samme uge, og du modtager dit svar kort tid efter undersøgelsen.
Priser for scanning af lever
Hvad koster en MR Scanning af lever?
Standard MR-scanning af lever
Kr. 2.900
MR-scanning af lever med leverspecifik kontrast
Kr. 5.500
Telefonisk svar ved speciallæge
Kr. 600
OBS. Der er rabatter ved flere bookinger på samme dag. Du kan læse mere her!
Bemærk: Sygeforsikringen “danmark” yder tilskud på op til kr. 2.000 (inkl. moms) for gruppe 2 til MR-scanninger. MR-scanning af kropsdele er omfattet af “Det udvidede frie sygehusvalg”. Alle priser er inkl. lovpligtig patientforsikring.
Kan jeg gennemføre scanningen, hvis jeg lider af klaustrofobi?
Er der sundhedsrisici forbundet med MR-scanning?
Er leverspecifikke kontrastmidler forbundet med risici?
Hvornår kan jeg forvente svar på min undersøgelse?
Hvilke fordele har MR i forhold til ultralyd ved leverundersøgelser?
Hvordan adskiller MR sig fra CT-scanning ved leverdiagnostik?
Eksempler på MR Scanninger

Ring eller skriv
Vi sidder klar til at hjælpe dig, hvis du har spørgsmål
Du kan også finde svar på de mest almindelige spørgsmål på siden spørgsmål og svar.







