Få lavet din MR-SCANNING hos Progardia
MR-scanning af
maven
Få præcise billeder af dine maveorganer med en MR-scanning hos Progardia. Som den eneste klinik i området tilbyder vi mavescanning med avanceret 3 tesla teknologi og AI-forbedret billedkvalitet. Vores erfarne specialister sikrer dig præcis diagnosticering og tryghed gennem hele forløbet.

Hvad er en MR-scanning af maven?
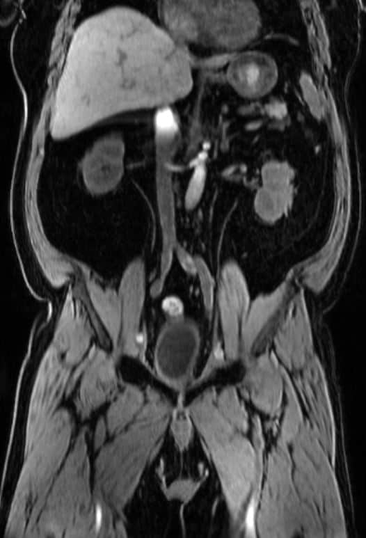
Maveregionen (abdomen) indeholder livsvigtige organer, der varetager kroppens fordøjelse, stofskifte og udskillelse af affaldsstoffer. Disse organer inkluderer lever, galdeblære, bugspytkirtel, milt, nyrer, binyrer, tarmene og for kvinder også de indre kønsorganer. På grund af mavens komplekse sammensætning af organer er præcis diagnosticering afgørende for effektiv behandling.
En MR-scanning af maven er en avanceret, non-invasiv billeddiagnostisk metode, der skaber ekstremt detaljerede billeder af alle maveregionens bløddelsorganer. Ved hjælp af kraftige magnetfelter og radiobølger kan vi visualisere:
- Lever og dens indre struktur
- Galdeblære og galdegange (MRCP)
- Bugspytkirtel (pancreas)
- Milt
- Nyrer og binyrer
- Blære
- Tarmkanalen
- Blodkar og lymfeknuder
- Muskler og omgivende væv
- Hovedpulsåren (aorta)
- Kvindelige kønsorganer (særskilt undersøgelse)
- Prostata (særskilt undersøgelse)

Mød vores MR-specialister
Kim, Per og Ken er blandt Danmarks førende kapaciteter inden for MR-billeddiagnostik med mange års dedikeret erfaring som radiografer.
Vores team af radiologer har omfattende erfaring med alt inden for MR-billeddiagnostik. De bruger deres specialviden til at give en grundig vurdering af dine scanningsbilleder.
Vi lægger vægt på et tæt samarbejde med både praktiserende læger, speciallæger, offentlige og private sygehuse, kiropraktorer og fysioterapeuter for at sikre, at du får den bedst mulige vurdering og vejledning til eventuel videre behandling.

Du kan altid få tid
indenfor en uge
Hvad koster en MR-scanning?
MR-scanning af øvre del af maven
Kr. 2.900
MR-scanning af nedre del af maven
Kr. 2.900
MR-scanning af hele maven
Kr. 5.075
Telefonisk svar ved speciallæge
Kr. 600
OBS. Der er rabatter ved flere bookinger på samme dag. Du kan læse mere her
Bemærk: Sygeforsikringen “danmark” yder tilskud på op til kr. 2.000 (inkl. moms) for gruppe 2 til MR-scanninger. MR-scanning af kropsdele er omfattet af “Det udvidede frie sygehusvalg”. Alle priser er inkl. lovpligtig patientforsikring.

Prioritér dit helbred – undgå lange ventetider
På offentlige hospitaler kan ventetiden til en MR-scanning være meget lang. Dette skyldes både vurdering af scanningsbehov og lange ventelister. Hos Progardia kan du få tid til scanning af maven inden for få dage, og du får svar på undersøgelsen kort tid efter.
Vi anbefaler at få foretaget en MR-scanning af maven:
- Som forebyggende undersøgelse
- Ved vedvarende mavesmerter, oppustethed eller fordøjelsesproblemer
- Ved uforklarligt vægttab eller appetitløshed
- Ved ændringer i afføringsmønster eller blod i afføringen
- Hvis du har familiehistorik med mave-tarm lidelser, leversygdomme eller nyresygdomme
Overlegen diagnostisk kvalitet med 3 tesla teknologi
AI-forbedret billedkvalitet
Specialdesignede AIR Coils
Ekspertanalyse
Patientvenlig oplevelse

Hvad viser undersøgelsen?
En MR-scanning af maven kan diagnosticere en lang række tilstande, herunder:
- Lymfeknudeforstørrelse – infektion, inflammation og metastaser
- Leverlidelser – fedtlever, cirrose, hepatitis, cyster, tumorer og metastaser
- Galdeblære- og galdegangslidelser – galdesten, inflammation, striktur og tumorer
- Bugspytkirtelsygdomme – betændelse (pancreatitis), cyster og tumorer
- Miltforandringer – forstørret milt, cyster og tumorer
- Nyrelidelser – cyster, tumorer, betændelse, stenose og misdannelser
- Binyreforandringer – adenomer, hyperplasi og tumorer
- Tarmlidelser – inflammatorisk tarmsygdom, tumorer og obstruktion
- Karforandringer – aneurismer, stenose og varicer
Eksempler på MR-scanninger

Ring eller skriv







